Orthopädisch Chirurgisches Centrum
Orthopädisch Chirurgisches Centrum
Orthopädisch Chirurgisches Centrum
Orthopädisch Chirurgisches Centrum
Orthopädisch Chirurgisches Centrum

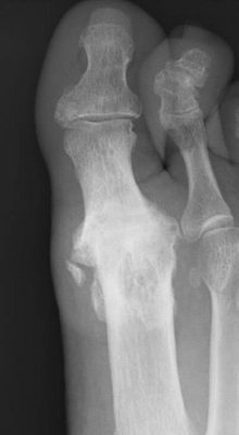
Hallux rigidus

Was ist ein Hallux rigidus?

Hallux rigidus ist die medizinische Bezeichnung für eine Arthrose im Großzehengrundgelenk.

Symptome

Viele Patienten sind lediglich durch die Knochenneubildung, welche im Schuh schmerzt, beeinträchtigt.
Bei Fortschreiten der Arthrose kommt es oft zu einer zunehmend schmerzhaften Bewegungseinschränkung im Großzehengrundgelenk.

Diagnostik

Notwendig ist eine exakte Diagnose der Veränderung! Der Fuß muss angesehen, angefasst und
geröntgt werden. Notwendig sind Röntgenbilder in mehreren Ebenen unter Belastung. Häufig muss zusätzlich eine Sonografie und eine Fußdruckmessung durchgeführt werden. In Ausnahmefällen ist eine Kernspintomografie erforderlich.

Therapie

Nicht jeder Hallux rigidus muss operiert werden. Primär werden sämtliche konservative Massnahmen
ausgeschöpft.

Empfohlen werden kann eine orthopädische Einlage mit eingearbeiteter Rigidusfeder. (Carbonversteifung unter dem Großzehengrundgelenk) mit Einarbeitung Ballenrolle in Konfektionsschuhe zur Entlastung des Gelenks.

Intraartikuläre Injektionen mit z.B. Hyaluronsäure bringen vielen Patienten oft lange Beschwerdefreiheit. Wenn der Patient lediglich durch die Knochenneubildung z.B. durch Schuhkonflikt eingeschränkt ist, besteht die Möglichkeit in einem kleinen Eingriff, manchmal auch in Schlüsselloch Technik, lediglich die störenden Knochensporne abzutragen.

Hierbei handelt es sich natürlich nicht um eine Therapie der Arthrose, sondern um eine Therapie der Arthrosefolgen. Die Arthrose wird zunehmen, viele Patienten können durch diesen kleinen Eingriff aber jahrelang beschwerdearm mit dem eigenen Gelenk zurechtkommen.

Wenn die Beschwerden zunehmen, muss das erkrankte Gelenk aufgegeben werden.

Es gibt für das Großzehengrundgelenk zwischenzeitlich auch Prothesen; diese haben aber leider zum jetzigen Zeitpunkt noch unbefriedigende Standzeiten. Wir raten deshalb von einer endoprothetischen Versorgung ab.

Es besteht die Möglichkeit der Implantation einer synthetischen, knorpelähnlichen Oberflächenersatzprothese (Cartiva®) mit ordentlichen Standzeiten; die Beweglichkeit des Gelenkes bleibt hier erhalten.

Der sog. „Goldstandard“ ist noch immer die Ruhigstellung bzw. Versteifung des Großzehengrundgelenks. Hierbei wird der verbliebene Knorpel entfernt und die Gelenkpartner (erster Mittelfußknochen und
Großzehengrundglied) mit Platte und Schrauben fixiert. Durch die Ruhigstellung des Gelenks kommt es zu keiner Gangbildstörung! Der Eingriff wird ambulant oder im Rahmen eines kurzen stationären Eingriffs durchgeführt.

Wenige Tage müssen Gehstöcke benutzt werden, bis das sichere Gehen im dem Spezialschuh sicher möglich ist. Der Spezialschuh muss für 6 Wochen getragen werden; solange ist das Führen eines PKWs nicht erlaubt.

Ergebnisse und Risiken

Bei der Entfernung der Knochenneubildung ist davon auszugehen, für mehrere Jahre Beschwerdearmut zu erreichen. Vollbelastung ist sofort möglich.

Bei der Ruhigstellung / Versteifung des Großzehengrundgelenks besteht das Risiko einer verzögerten oder ausbleibenden Knochenbruchheilung sowie einer Fehlstellung. Gefühlstörungen im Narbenbereich sind bei allen Eingriffen möglich.

Insgesamt ist die Patientenzufriedenheit exzellent. Rückkehr zum Alltagssport kann in fast allen Fällen erreicht werden