Ellenbogen
Das Ellenbogengelenk ist ein knöchern stabil geführtes Gelenk, das je nach Lebensalter unterschiedliche Beschwerden machen kann.
Osteochondrosis dissecans
Beim Heranwachsenden kann es zu Durchblutungsstörungen des gelenknahen Knochens kommen. Dies kann zu einer Ablösung des Knochens mit einem Knorpelschaden und einem freien Gelenkkörper führen.
Der Betroffene bemerkt Blockierungen des Gelenks und eine schmerzhafte Bewegungseinschränkung.
In frühen Stadien kann eine konsequente Reduktion der Belastung (Vermeidung des Stützens z.B. beim Turnen) die Erkrankung ausheilen. Sofern es immer wieder zur Blockierung des Gelenks mit Schmerzen kommt, ist eine minimalinvasive Therapie mit Refixation und ggf. Entfernung des freien Gelenkkörpers, der minimal invasiv entfernt werden kann, und die Behandlung des Knorpeldefekts angezeigt.
Tennis- und Golferellenbogen (Epikondylitis radialis und ulnaris)
Schmerzen an der Außenseite des Ellenbogens (am Ansatzbereich der Handgelenksstrecker) sind die häufigsten Beschwerden in der Ellenbogensprechstunde. Sie entstehen meist durch eine wiederholte Überlastung (z.B. Tippen) oder eine ungewohnte starke Belastung (wie z.B. Gartenarbeit). Grundsätzlich sollte bei diesen Erkrankungen mindestens 3-6 Monate ohne eine Operation behandelt werden. Nach den aktuellsten wissenschaftlichen Daten hat neben einer Schonung das exzentrische Dehnen (Kräftigung gegen Dehnungswiderstand) die beste Wirkung.
Zur Entlastung kann eine Unterarmspange oder eine Handgelenksschiene verordnet werden. Oft vergessen wird die Halswirbelsäule, welche manualtherapeutisch behandelt werden kann.
Eine entzündungshemmende Spritze mit Kortison in Kombination mit regenerativen körpereigenen Heilungs-, und Wachstumsfaktoren (Plättchenreiches Plasma, PRP) lindert die Schmerzen und beschleunigt die Heilung. Viele Betroffene profitieren auch von einer Stoßwellentherapie an den entzündeten Arealen.

1. Die Hand des betroffenen Ellenbogens (mit # markiert) wird nach oben gedrückt.
2. Mit der anderen Hand wird ein Gegendruck aufgebaut (Pfeil). Dann wird das Handgelenk der betroffenen Seite (mit # markiert) unter leichtem Nachlassen der Anspannung in die Handgelenksbeugung geführt.
Verbleiben Schmerzen trotz einer konsequenten Therapie nach dem o.g. Schema liegt meist eine schwerere strukturelle Schädigung mit einem Sehnenanriss oder eine Instabilität vor. Dies sollte mittels eines MRTs (Kernspintomographie/ Magnetresonanztomographie) des Ellenbogens in Streckstellung untersucht werden. Je nach Ursache kann den Betroffenen meist mit einer Gelenkspiegelung und einer Befund bezogenen, minimalinvasiven Therapie (z.B. Bandplastik) geholfen werden.
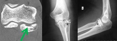
Bruch und Auskugeln des Ellenbogens
Nach Stürzen oder Verrenkungen des Ellenbogens muss nach dem Einrenken in der Regel eine Verplattung und Verschraubung der Knochen erfolgen. In Narkose wird auch die Stabilität überprüft und falls notwendig Bänder und Sehnen wieder befestigt.

Falls der Bruch mehr als 1/3 der Gelenkfläche umfasst und die Verschiebung größer ist als 2 mm, wird eine Reposition und Stabilisierung empfohlen.
Die beiden Röntgenbilder rechts zeigen das angehobene Fragment und die Minischrauben-Osteosynthese (#).
Steifer Ellenbogen
Nach einem Unfall mit nachfolgend notwendiger Ruhigstellung und Gelenkschädigung kann es zu einer Steife des Ellenbogens kommen. Dies behindert die Betroffenen bei alltäglichen Bewegungen wie Essen und Trinken oder Haare kämmen. Meist kann mit Physiotherapie der Bewegungsumfang vergrößert werden. Voraussetzung für eine optimale Behandlung ist in jedem Fall eine gründliche Analyse der Ursache für die Steife: interessanterweise reagiert das instabile Ellenbogengelenk auch mit einer Steife! Der Körper versucht sich gewissermaßen zu schützen und eine unnatürliche Beweglichkeit zu reduzieren. Falls die konservative Behandlung nicht zum Ziel führt, kann eine Gelenkspiegelung und Durchtrennung der Kapsel die Beweglichkeit verbessern. Bei einer Instabilität muss diese zusätzlich behoben werden.
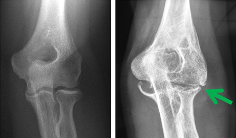
Verschleiß des Ellenbogens
Im Laufe der Jahre kann es zu einem Verschleiß des Knorpels und zu Knochenanbauten (Osteophyten) am Gelenk kommen. Dies reduziert das Bewegungsausmaß des Gelenks und erschwert alltägliche Bewegungen. Linderung können Spritzen mit entzündungshemmenden Medikamenten (Cortison) und/ oder Hyaluronsäure in Kombination mit Physiotherapie bringen. Falls dies nicht zum gewünschten Erfolg führt, können die Knochenanbauten und die verdickte Gelenkkapsel minimal-invasiv entfernt (die Kapsel bildet sich dann in den Wochen nach der Operation wieder) und die Beweglichkeit verbessert werden.
In schweren Fällen kann der Gelenkersatz mit modernen, langlebigen Implantaten erfolgen.